Walk in uncertain.Walk out unstoppable.
Upload X-rays · Receive full treatment plan in 48 hrs · No obligation
Our Promise
You were told there was no other option.
We hear it every week - patients from Madrid, Barcelona, and Valencia quoted €38,000–€58,000 for implants and told there's nothing else available.
“You need €58,000 of work.”
“You don't have enough bone.”
“There's nothing more we can do.”
Carlos Martinez came to us from Madrid after three specialists said the same. Twelve days later he left with a full fixed Straumann restoration - from 13.500 € vs quotes past €58,000.
His case was reviewed by implantology, prosthodontics, periodontics, and radiology on one 3D CBCT - the same systems and protocols you'd expect in Madrid, without the geographic premium.
At Stunning Dentistry in New Delhi, we use the same Straumann and Nobel Biocare implant systems as your Spanish clinic. The same surgical protocols. The same materials. But here, with 25 super-specialist dentists and India's largest dental hospital - we find a way.
We call it what our patients call it: a second chance.
Clinical Outcomes
Over 150,000 patients seen and counting...
Real patient treatment journeys handled by specialist teams at Stunning Dentistry.

1 / 2Treatment: Porcelain Veneers
Duration: Approx 1 week

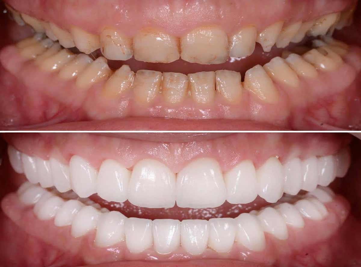
1 / 2Treatment: Full Mouth Rehabilitation
Duration: Approx 10 days

1 / 2Treatment: Smile Makeover
Duration: Approx 5 days

1 / 2Treatment: Dental Implants
Duration: Approx 2 weeks


1 / 3Treatment: Full Smile Transformation
Duration: Approx 10 days

“A Madrid prosthodontist quoted €40,000. I paid €8,200 - flights, hotel, the lot. Straumann implants, same clinical standard, a fraction of the price.”
Carlos M. · Madrid
Full Mouth Rehabilitation
Patient Stories
They Came for a Quote. They Left with a Smile.
Every story is verified. Every saving is documented.

“Two Barcelona specialists told me I didn't have enough bone. Dr. Sethi used zygomatic implants - one surgery, same-day teeth, no graft.”
Lucia G. · Barcelona
Zygomatic Implants

“I saved nearly €20,000 on All-on-4 both arches. Best decision I've ever made.”
Javier R. · Valencia
All-on-4 Both Arches

“My Seville dentist wanted €36,000 for upper and lower. Got the same treatment with Straumann implants for €7,600.”
Elena F. · Seville
Full Arch Zirconia Bridge

“After years of hiding my smile, I finally have teeth I'm proud of. Dr. Sethi and his team changed my life in 8 days.”
Pablo S. · Bilbao
Smile Design - 20 Veneers

“I'm 67 and was told I'd need bone grafts first. They did zygomatic implants in one visit. Flying home to Malaga with permanent teeth felt surreal.”
Carmen L. · Malaga
Zygomatic + Fixed Bridge

“Two Barcelona specialists told me I didn't have enough bone. Dr. Sethi used zygomatic implants - one surgery, same-day teeth, no graft.”
Lucia G. · Barcelona
Zygomatic Implants

“I saved nearly €20,000 on All-on-4 both arches. Best decision I've ever made.”
Javier R. · Valencia
All-on-4 Both Arches

“My Seville dentist wanted €36,000 for upper and lower. Got the same treatment with Straumann implants for €7,600.”
Elena F. · Seville
Full Arch Zirconia Bridge

“After years of hiding my smile, I finally have teeth I'm proud of. Dr. Sethi and his team changed my life in 8 days.”
Pablo S. · Bilbao
Smile Design - 20 Veneers

“I'm 67 and was told I'd need bone grafts first. They did zygomatic implants in one visit. Flying home to Malaga with permanent teeth felt surreal.”
Carmen L. · Malaga
Zygomatic + Fixed Bridge
Transparent Pricing
What Spaniards Are Saving
Same implants. Same brands. A fraction of the price - even after flights and accommodation.

Trusted Worldwide
Over 1 Million+ Stunning Smiles
Patients from 40+ countries · Since 2008 · Forbes India #1 · 4 Consecutive Years
Specialisations
What We Do Best
Advanced treatments designed for international patients — same materials, a fraction of the cost.

Full Mouth Rehabilitation
All-on-4 / All-on-6 · Same-day teeth · Straumann & Nobel Biocare
🇪🇸 Spain
€60,000–€85,000
🇮🇳 Stunning
€10,000–€14,000







































